Simoncini Cancer Therapy
Clinical case: Medullar metastatic compression
Clinical case: Medullar metastatic compression
The 40-year-old patient underwent surgical intervention several months prior (left radical mastectomy) for breast cancer seven months earlier. After three months of chemotherapy, the patient is affected by: “diffused pulmonary and hepatic metastasis; bone metastasis particularly to the fifth and sixth lumbar vertebrae, with invasion and compression of the medullar channel, which is causing an extreme pain [which makes the patient] unresponsive to any treatment.”
All pain suppressant drugs – morphine included – are totally ineffective and the patient is totally prostrate. A palliative radiotherapic treatment is proposed to her, but she tries to avoid it, as she is conscious of the possible negative effects.
As I agree with the view of the patient, I try to buy time and get in touch with a neurologist colleague or an anaesthetist who is capable for performing a lumbar injection with sodium bicarbonate solutions salts which I believe to be the only substance capable of destroying the tumour – that is, the fungal colonies amassed in the medullar channel – in a short time with consequential relief for the patient.
For some reason (maybe fear? Lack of knowledge? Or…) I cannot get any specialist to cooperate… Eventually, and out of pity for the patient, I am forced to administer the lumbar injection myself. As I administer it by slowly injecting 50 cc of sodium bicarbonate solution at 8.4%, the patient tosses and with a thread of a voice confesses to me that she has slept only two hours in the last week. Exhausted, she whispers to me: “If only I could sleep half an hour tonight.”
But the day after, she calls me on the phone and says: “I have slept all night”.
Since then, and after a month, I performed two more lumbar administrations of sodium bicarbonate and the pain has disappeared completely.
The magnetic resonance cans performed before and after the treatment are defined by a radiologist friend who is a hospital department head as “shocking” in their difference.
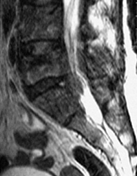
Before the treatment, August 25, 2000.
RMN dated August 25, 2000. In image 8a the metastatization of the 4th and 5th lumbar vertebrae and the mass that obstructs the medullar channel can be seen. Please note the tumoral mass that has invaded the marrow of the sacral part as well.
August 25, 2000 – Before treatment

After the treatment, October 11, 2000.
RMN dated October 11, 2000. After the treatment with sodium bicarbonate through lumbar injection we are observing the same section in the fourth image. The noticeable reduction of the local mass can be seen with total elimination of the tumoral mass in the marrow in the inferior sacral area. In the medial area, there is a noticeable reduction with re-canalizing of the medullar channel.
October 11, 2000 – After treatment

Communication
Telephone: (+39) 3389997821
Telephone: (+39) 335294480
Email: t.simoncini@alice.it
Disclaimer
The information we provide is for educational purposes only and is not intended as medical advice. Users assume all responsibility for the application of the content on themselves. The information and/or products which on this website are reproduced are not meant to replace and/or to ignore the advice of a practicing physician.